Notfallservice
  • Klinikum Nürnberg

    Histopathologie

    Universitätsinstitut für Pathologie

/ 1

Histopathologie am Klinikum Nürnberg

Das Universitätsinstitut für Pathologie in Nürnberg bietet histologische Diagnostik für alle Organe und Organsysteme auf universitärem Niveau. Mit mehr als 74.000 histologischen Einsendungen pro Jahr stehen wir für eine präzise Diagnostik nach aktuellen wissenschaftlichen Standards.

Die Aufarbeitung der histologischen Proben erfolgt in den Eingangslaboratorien an den Standorten Campus Nord und Campus Süd. Dort sind insgesamt 30 Labormitarbeiterinnen und -mitarbeiter tätig – von der Assistenz im Zuschnitt über die Aufarbeitung und Färbung feingeweblicher Proben bis hin zu immunhistologischen Spezialuntersuchungen.

Was ist Histopathologie?

Eine Mitarbeiterin der Pathologie untersucht Gewebeproben unter dem Mikroskop.

Die Histopathologie ist ein Teilbereich der Pathologie und bezeichnet die morphologische Analyse von krankhaft verändertem Gewebe.

Diese Analyse umfasst meist sowohl eine makroskopische (mit bloßem Auge fassbare) als auch eine mikroskopische (feingewebliche) Beurteilung von Gewebeproben.

Ablauf einer histopathologischen Untersuchung

1. Fixierung und Begutachtung

Das entnommene Gewebe wird zunächst in einer 4%-igen Formaldehydlösung fixiert, um die Gewebestruktur zu erhalten.

Anschließend erfolgt die makroskopische Begutachtung, bei der relevante Bereiche ausgewählt und für die weitere Untersuchung entnommen werden.

2. Anfertigung von Gewebeschnitten

Im nächsten Schritt wird das Gewebe entwässert und in Paraffin eingebettet. Dabei entsteht ein sogenannter FFPE-Block (formalinfixiert und paraffineingebettet), aus dem mit einem Mikrotom sehr dünne Gewebeschnitte von etwa 1–3 µm angefertigt werden.

3. Beurteilung und Differenzierung

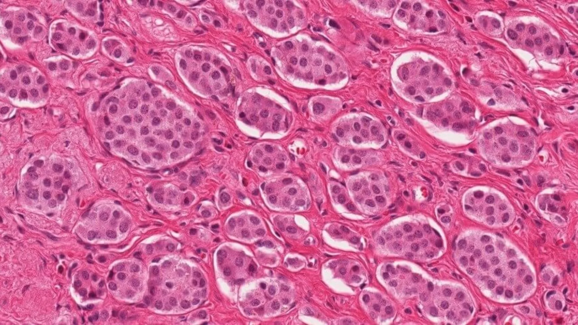
Diese Schnitte werden anschließend vollautomatisch gefärbt und können danach mikroskopisch durch das ärztliche Personal beurteilt werden. Die Standardfärbung ist die Hämatoxylin-Eosin-Färbung (HE), mit der sich Gewebestrukturen gut darstellen lassen. Je nach Fragestellung kommen zusätzlich spezielle histochemische Färbungen zur weiteren diagnostischen Abklärung zum Einsatz.

Was sind Spezialfärbungen?

Spezialfärbungen sind histochemische Färbemethoden, mit denen bestimmte Gewebebestandteile, Stoffwechselprodukte oder Mikroorganismen gezielt sichtbar gemacht werden können. Sie ergänzen die Standardfärbung und helfen, spezielle diagnostische Fragestellungen zu klären. Beispiele sind die Elastica-von-Gieson-Färbung (Darstellung elastischer Fasern und von Bindegewebe), die Eisenfärbung (Nachweis von ionisiertem Eisen), die PAS-Reaktion (Darstellung von Glykogen, Basalmembranen und Pilzen), die Ziehl-Neelsen-Färbung (Nachweis säurefester Stäbchen) sowie die Gramfärbung zum Nachweis grampositiver Bakterien.

 

 

Was ist bei der Einsendung von Gewebeproben zu beachten?

  • Bitte Antrag vollständig ausfüllen (Patientendaten, Untersuchungsmaterial, klinische Angaben, Station oder OP-Saal, bzw. Einsenderdaten & Telefonnummer, ggf. Überweisungsschein Muster 10)
  • Gewebeproben umgehend in Formalin geben (außer bei Schnellschnitten, hier nativ)
  • Gewebeproben mit ausreichend Formalin bedecken (Verhältnis Gewebe:Formalin mind. 1:10)
  • Gewebegröße beachten und entsprechend größere Gefäße benutzen

Hinweise für Einsendende

Schnellschnittdiagnostik (intraoperative Diagnostik)

Die Schnellschnittdiagnostik ermöglicht eine schnelle vorläufige Befundung von Gewebeproben während einer laufenden Operation, insbesondere bei Tumorverdacht. Die Probe wird nativ (ohne Formalin) in die Pathologie gebracht, dort makroskopisch beurteilt, eingefroren (ca. −20 °C), geschnitten und im Schnellverfahren gefärbt. Innerhalb von etwa 15–20 Minuten kann das Ergebnis telefonisch übermittelt werden und das operative Vorgehen unterstützen.

Die Schnellschnittuntersuchung dient der Beantwortung spezieller intraoperativer Fragestellungen und ersetzt nicht die reguläre histologische Aufarbeitung in Paraffin.

Wichtige Hinweise:

  • Material nativ (ohne Formalin) einsenden
  • Probe umgehend an die Pathologie weiterleiten
  • Schnellschnitt telefonisch im Labor anmelden
  • Rückrufnummer unbedingt auf dem Antrag angeben 

 

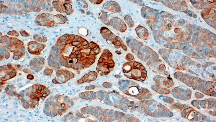
Was ist Immunhistochemie?

Eine wichtige Rolle spielt die Immunhistochemie (Antikörperfärbung). Mit dieser speziellen Färbemethode werden bestimmte Proteinstrukturen im Gewebe sichtbar gemacht, was eine präzise Tumortypisierung und wichtige Hinweise für individuelle Therapieentscheidungen ermöglicht.

Am Universitätsinstitut für Pathologie sind mehr als 200 diagnostisch relevante Antikörper etabliert. Wir arbeiten mit modernen Vollautomaten und führen die Untersuchungen nach den Vorgaben der DAkkS-Akkreditierung sowie IVDR-konform durch.

Zur kontinuierlichen Qualitätssicherung nehmen wir regelmäßig an Ringversuchen der Qualitätssicherungs-Initiative Pathologie (QuiP) teil und wirken teilweise auch als Lead- bzw. Panel-Institut an deren Durchführung mit.